پروتئینوری در محدوده نفروتیک: نشانه‌ای از رد حاد پیوند کلیه در بیمار مسن

مقدمه

پروتئینوری در محدوده نفروتیک (Nephrotic Range Proteinuria) یکی از علائم بالینی مهم در بیماری‌های کلیوی است. در بیماران پیوند کلیه، بروز این علامت می‌تواند نشانه‌ای از رد حاد گرافت باشد. مطالعه‌ای که در این مقاله ارائه شده، به بررسی یک مورد بالینی از بروز پروتئینوری در محدوده نفروتیک به‌عنوان نشانه‌ای از رد حاد پیوند کلیه در یک بیمار مسن پرداخته است.


هدف مطالعه

هدف از این مطالعه، بررسی ارتباط بین پروتئینوری در محدوده نفروتیک و رد حاد پیوند کلیه در بیماران مسن بود. این مطالعه به‌ویژه بر روی بیمارانی که سابقه بیماری مزمن کلیوی دارند، تمرکز کرده است.


روش مطالعه

در این مطالعه، یک بیمار ۷۳ ساله با سابقه بیماری مزمن کلیوی ناشی از نفروپاتی دیابتی مورد بررسی قرار گرفت. این بیمار پس از دریافت پیوند کلیه، دچار بروز پروتئینوری در محدوده نفروتیک شد. با انجام بررسی‌های بالینی و آزمایشگاهی، رد حاد پیوند کلیه در این بیمار تشخیص داده شد.

توضیح تصویر:

  • عنوان: آنژیوگرافی شریانی پیوند کلیه

  • توضیح: تصویر آنژیوگرافی شریانی پیوند کلیه که نشان‌دهنده وضعیت عروقی گرافت است.


نتایج و یافته‌های کلیدی

  • تشخیص رد حاد: بروز پروتئینوری در محدوده نفروتیک در این بیمار به‌عنوان یکی از علائم بالینی رد حاد پیوند کلیه تشخیص داده شد.

  • اهمیت تشخیص زودهنگام: تشخیص زودهنگام رد حاد پیوند کلیه در بیماران مسن می‌تواند به بهبود نتایج درمانی کمک کند.

  • مدیریت درمانی: درمان مناسب و به‌موقع رد حاد پیوند کلیه در این بیماران ضروری است تا از آسیب بیشتر به گرافت جلوگیری شود.

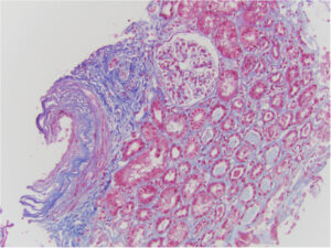
توضیح تصویر:

  • عنوان: بیوپسی کلیه پیوندی

  • توضیح: تصویر میکروسکوپی از بیوپسی کلیه پیوندی که نشان‌دهنده ویژگی‌های هیستوپاتولوژیک رد حاد است.


تفسیر نتایج

نتایج این مطالعه نشان می‌دهد که بروز پروتئینوری در محدوده نفروتیک می‌تواند نشانه‌ای از رد حاد پیوند کلیه باشد، به‌ویژه در بیماران مسن با سابقه بیماری مزمن کلیوی. این یافته اهمیت بررسی دقیق و پیگیری مستمر بیماران پیوند کلیه را برجسته می‌کند.


کاربرد بالینی

برای متخصصان پیوند کلیه، این مطالعه تأکید می‌کند که بروز پروتئینوری در محدوده نفروتیک در بیماران مسن باید به‌عنوان یک علامت هشداردهنده برای رد حاد پیوند کلیه در نظر گرفته شود. پیگیری دقیق و انجام بررسی‌های لازم می‌تواند به تشخیص زودهنگام و درمان مؤثر کمک کند.


محدودیت‌ها و پیشنهادات آینده

این مطالعه به‌صورت تک‌موردی انجام شده است و برای تعمیم نتایج به جمعیت وسیع‌تر، مطالعات بیشتری با طراحی‌های قوی‌تر مورد نیاز است. همچنین، بررسی‌های پروسپکتیو و چندمرکزی می‌تواند اطلاعات بیشتری در این زمینه ارائه دهد.


جمع‌بندی

بروز پروتئینوری در محدوده نفروتیک در بیماران پیوند کلیه، به‌ویژه در بیماران مسن با سابقه بیماری مزمن کلیوی، می‌تواند نشانه‌ای از رد حاد پیوند کلیه باشد. تشخیص زودهنگام و درمان مناسب این وضعیت برای حفظ عملکرد گرافت و بهبود نتایج بالینی ضروری است.


منبع:
Nephrotic Range Proteinuria as a Manifestation of Acute Allograft Rejection.
Transplantation Proceedings, 2025.
https://www.sciencedirect.com/science/article/pii/S2590059525001529

دیدگاهتان را بنویسید

نشانی ایمیل شما منتشر نخواهد شد. بخش‌های موردنیاز علامت‌گذاری شده‌اند *

مطالب مشابه